健康檢查的重要性![]()
萌寵動物醫院致力於動物預防醫學,預防醫學的強調的是在疾病發生之前或還未發現時,採取一系列的措施來預防和降低疾病的風險,包含以下幾個重點:
1.早期發現疾病:動物健康檢查可以幫助獸醫早期發現潛在的健康問題。這包括檢查心臟、肺部、眼睛、耳朵、皮膚、牙齒和其他器官。早期發現疾病可以提高治療的成功率。
2.預防措施:健康檢查還包括接種疫苗、驅蟲和其他預防措施。這有助於防止寵物感染傳染病,並保護他們的健康。
3.老年寵物護理:老年寵物需要特別的護理。健康檢查可以確保老年寵物的健康狀況良好,並提供適當的養護建議。
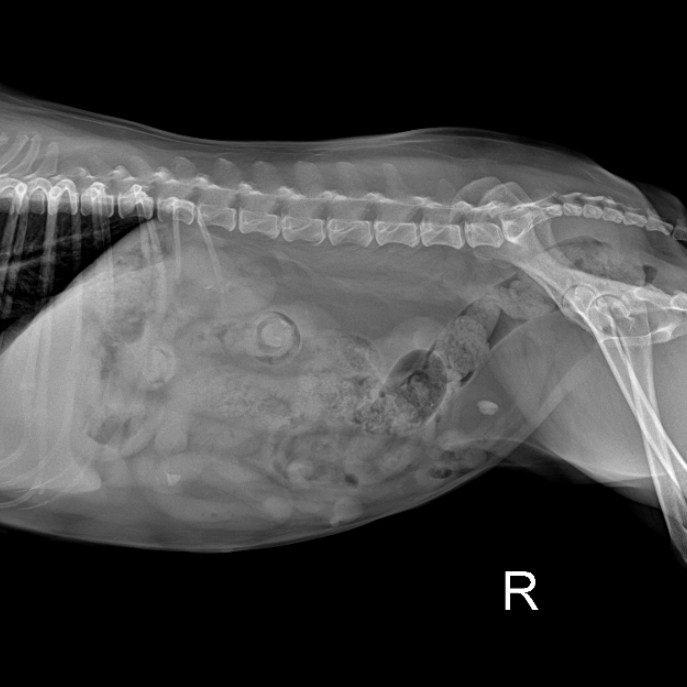
本案例是四月初來本院就診的雪納瑞,經朋友介紹至本院由陳博駿院長做健康檢查,原本以為只是年紀大了活力下降,結果意外檢查出脾臟發現有2.3*2.7公分的腫瘤,主人也很信任,馬上安排手術時間。
所幸手術進行非常順利,切除的脾臟腫瘤與超音波檢查時的大小一致(幸好有做健康檢查),手術後也一併針對牙周病進行洗牙及治療,恢復期間使用高壓氧治療,恢復非常迅速,可看到寵物在高壓氧治療中的笑容
。
腫瘤切片的結果是惡性的血管肉瘤(Hemangiosarcoma),是脾臟最常出現的惡性腫瘤
,幸好及早發現並切除,主人已做了最好的決定,後續治療的問題就交給萌寵煩惱吧![]()
![]()






發表留言