老犬因食慾不振就診,檢查發現肝癌,順利完成手術
這週迎來了一隻13歲的老犬,牠的主人因為牠最近食慾下降,精神萎靡,特別擔心牠的健康,帶牠來到萌寵動物醫院進行檢查。
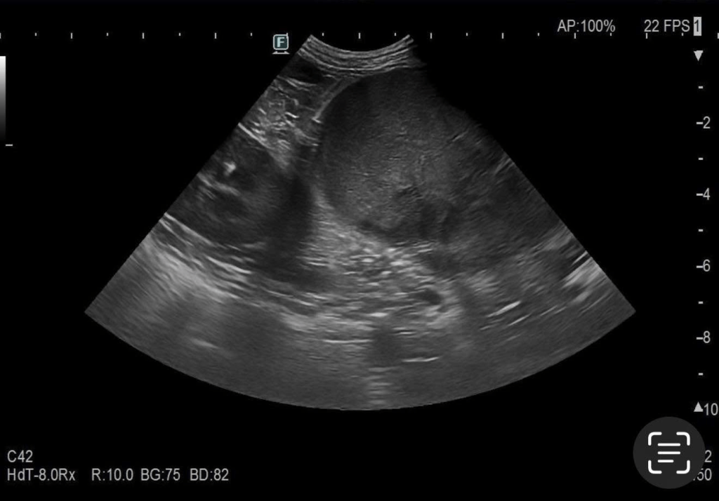
經過初步檢查,我們發現牠的肝膽指數異常升高,因此安排了超音波和X光影像檢查,影像結果顯示出牠的肝臟上有一顆明顯的腫塊。而在狗最常見的是肝細胞癌(HCC)。
雖然這個消息令人難過,但幸運的是,腫瘤的大小和位置適合進行手術。經過與牠的家屬充分討論後,我們決定進行肝臟腫瘤切除手術。準備了超音波刀、ligasure以及血管夾確保手術過程順利,經過兩個小時的手術時間,腫瘤被成功切除,並且出血量保持在可控範圍內。
術後,這隻勇敢的寶貝已經慢慢狀況穩定,精神也有了明顯的回升。雖然牠已經年老,手術的風險較高,但牠堅強的意志力讓我們所有人都感到動容。
萌寵動物醫院的醫療團隊將繼續治療牠的情況,並為牠的健康祈禱。我們也為這可愛的老柴犬送上最真摯的祝福,希望牠能夠順利康復,繼續陪伴牠的家人。
加油,勇敢的寶貝,我們會一直在你身邊。





發表留言